Our Top Treatments
- FULL MOUTH DENTAL IMPLANTS
- BASAL IMPLANTS
- FULL MOUTH RECONSTRUCTION
E.H.S./W.J.H.S Scheme
Available for state workers, pensioners, working professionals
Welcome To
Andhra Dental
Dental Clinic in Vijayawada
ANDHRA DENTAL HOSPITAL has been serving Vijayawada since 2000. Our MISSION is to provide high-quality dental care in a friendly and comfortable environment. We believe in creating lasting relationships with our patients and ensuring that every visit is a positive experience. Our VISION is to pioneer compassionate oral healthcare, our dental hospital envisions a community where every smile reflects confidence and health. Through advanced technology, personalized care, and a commitment to patient education, we strive to set new standards in dental excellence, fostering wellness and trust in every interaction.
We are known for the most affordable and painless dental treatments that our clients have been loving for years. Whether it is Cosmetic Dental treatments, Root Canals, Tooth Extraction,Dental Implants or more, we assure the best help in a comfortable and friendly environment. We’ve built relationships with thousands of clients for simple consultations and surgeries too.
Hospital Tour




Treatments We Offer
"Experience our Expert and Personalised Dental Services"
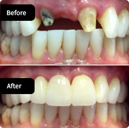
Dental Implants
Dental implants are a popular and effective solution for people who have lost one or more teeth due to injury, decay, or other causes.
Braces
Braces can correct a wide range of dental issues, including crooked, gapped, rotated or crowded teeth.
Tooth Whitening
Tooth-colored fillings, also known as composite fillings, are a popular and effective way to repair decayed or damaged teeth while maintaining a natural appearance.
Root Canal
A root canal is the naturally occurring anatomic space within the root of a tooth. It consists of the pulp chamber.
Bridges and Crowns
Dental bridges and crowns are permanent prosthetic devices that dentist use. These are bound to hold your actual teeth together.
Gum Disease
Periodontal (gum) disease is an infection of the tissues that hold your teeth in place. It’s typically caused by poor brushing and flossing habits
Kids Or Pediatric Dentistry
Welcome to ‘Andhra Dental’Kids Dentistry, where each child’s smile shines brighter! We specialise in offering complete dental care designed exclusively for children
Emergency Care
Looking for an emergency dentist? Village Dental offers same-day emergency dental care for current and new patients alike in our clinic
Our Reviews
Happy Patients




